Cầu răng sứ – Giải pháp phục hồi nụ cười tự nhiên cho người mất răng

Mất răng không chỉ ảnh hưởng đến thẩm mỹ nụ cười mà còn làm suy giảm chức năng ăn nhai và sức khỏe răng miệng lâu dài. Trong các giải pháp phục hình hiện nay, cầu răng sứ được đánh giá cao nhờ tính hiệu quả, thẩm mỹ tự nhiên và phù hợp với nhiều đối tượng. Hãy cùng ThanhHoatoplist tìm hiểu ngay!

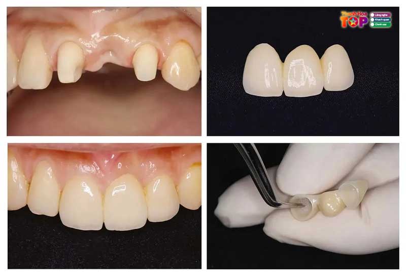
Cầu răng sứ là gì? Nguyên lý phục hình răng đã mất

Cầu răng sứ là phương pháp phục hình răng cố định, sử dụng răng thật kế cận làm trụ để nâng đỡ một hoặc nhiều răng giả tại vị trí mất răng. Một cầu răng sứ hoàn chỉnh thường gồm từ 3 mão sứ, trong đó hai mão ngoài chụp lên răng trụ và mão ở giữa thay thế răng đã mất.

Nguyên lý hoạt động của cầu răng sứ dựa trên khả năng chịu lực của răng trụ. Sau khi được mài chỉnh theo tỷ lệ phù hợp, răng trụ sẽ giữ vững toàn bộ cấu trúc cầu răng, giúp phục hồi khả năng ăn nhai gần như răng thật. Với thiết kế chuẩn xác và chất liệu sứ cao cấp, cầu răng sứ mang lại màu sắc tự nhiên, độ bền cao và cảm giác thoải mái khi sử dụng.

Cau-rang-su-giai-phap-phuc-hoi-nu-cuoi-tu-nhien-cho-nguoi-mat-rang-1

Phương pháp này thường được chỉ định trong trường hợp mất một hoặc vài răng liền kề, răng trụ còn chắc khỏe và không mắc bệnh lý nghiêm trọng. Thời gian phục hình nhanh chóng, tính thẩm mỹ cao là những lý do khiến cầu răng sứ được nhiều người lựa chọn.

Ưu điểm nổi bật của cầu răng sứ trong phục hình răng miệng

So với nhiều phương pháp phục hình răng hiện nay, cầu răng sứ được đánh giá cao nhờ khả năng khôi phục chức năng ăn nhai và tính thẩm mỹ. Giải pháp này phù hợp với người mất một hoặc vài răng liền kề. Nhờ sự phát triển của công nghệ nha khoa, cầu răng sứ ngày càng đáp ứng tốt nhu cầu sử dụng. Ưu điểm nổi bật của cầu răng sứ gồm:

  • Khôi phục khả năng ăn nhai ổn định, hạn chế tình trạng xô lệch răng và sai khớp cắn do mất răng kéo dài.
  • Mão sứ được thiết kế sát với hình dáng và màu sắc răng thật, mang lại nụ cười hài hòa, tự nhiên.
  • Chất liệu sứ hiện đại có độ trong và khả năng phản quang tốt, đáp ứng yêu cầu thẩm mỹ cao.
  • Phục hình cố định, không cần tháo lắp như hàm giả truyền thống, tạo cảm giác chắc chắn khi sử dụng.
  • Thời gian điều trị ngắn, thường chỉ từ vài ngày đến một tuần, phù hợp với người có lịch trình bận rộn.
  • Chi phí hợp lý so với hiệu quả phục hình và độ bền mang lại.

Với những ưu điểm trên, cầu răng sứ được xem là giải pháp phục hình hiệu quả, cân bằng giữa thẩm mỹ, chức năng và chi phí. Khi được thực hiện đúng kỹ thuật và lựa chọn chất liệu phù hợp tại cơ sở nha khoa uy tín, phương pháp này có thể duy trì độ bền lâu dài. Đây cũng là lý do cầu răng sứ tiếp tục được nhiều người tin tưởng trong phục hồi răng mất.

Cau-rang-su-giai-phap-phuc-hoi-nu-cuoi-tu-nhien-cho-nguoi-mat-rang-2

Những lưu ý khi lựa chọn phương pháp cầu răng sứ

Dù mang lại nhiều lợi ích, cầu răng sứ vẫn đòi hỏi những yêu cầu kỹ thuật nhất định để đảm bảo hiệu quả sử dụng lâu dài. Yếu tố quan trọng hàng đầu là tình trạng răng trụ, cần đủ chắc khỏe và không mắc các bệnh lý nha chu nghiêm trọng. Răng trụ ổn định giúp nâng đỡ cầu răng tốt hơn, hạn chế nguy cơ lung lay hoặc hư hỏng trong quá trình ăn nhai.

Bên cạnh đó, quá trình mài răng trụ yêu cầu bác sĩ có tay nghề cao và kinh nghiệm chuyên môn vững vàng. Việc mài răng cần đảm bảo tỷ lệ chính xác, hạn chế xâm lấn mô răng thật và giữ vững khớp cắn tự nhiên. Nếu thực hiện sai kỹ thuật, người sử dụng có thể gặp tình trạng ê buốt kéo dài, đau nhức hoặc làm giảm tuổi thọ của cầu răng sứ.

Cau-rang-su-giai-phap-phuc-hoi-nu-cuoi-tu-nhien-cho-nguoi-mat-rang-3

Ngoài kỹ thuật, việc lựa chọn chất liệu sứ và chăm sóc sau điều trị cũng đóng vai trò quan trọng. Mỗi loại sứ như sứ kim loại, sứ toàn sứ hay sứ cao cấp đều có đặc điểm riêng, cần được tư vấn phù hợp với vị trí mất răng và nhu cầu thẩm mỹ. Sau khi hoàn tất phục hình, vệ sinh răng miệng đúng cách và tái khám định kỳ sẽ giúp kéo dài độ bền của cầu răng.

Nha Khoa Đông Nam đồng hành cùng nụ cười của bạn

Trong lĩnh vực phục hình răng miệng, Nha Khoa Đông Nam được đánh giá là một trong những địa chỉ uy tín, nhận được sự tin tưởng của đông đảo khách hàng. Với đội ngũ bác sĩ có chuyên môn sâu, nhiều năm kinh nghiệm trong phục hình răng sứ, mỗi ca điều trị đều được thăm khám và lên kế hoạch chi tiết, phù hợp với từng tình trạng răng miệng cụ thể.

Hệ thống máy móc và trang thiết bị tại Nha Khoa Đông Nam được đầu tư đồng bộ, hỗ trợ chẩn đoán chính xác và chế tác răng sứ đạt độ khít sát cao. Vật liệu sứ sử dụng có nguồn gốc rõ ràng, đáp ứng tiêu chuẩn an toàn sinh học và thẩm mỹ lâu dài. Quy trình cầu răng sứ được thực hiện bài bản, từ thăm khám, tư vấn đến phục hình và theo dõi sau điều trị.

Cau-rang-su-giai-phap-phuc-hoi-nu-cuoi-tu-nhien-cho-nguoi-mat-rang-4

Với định hướng đặt chất lượng điều trị và trải nghiệm khách hàng lên hàng đầu, Nha Khoa Đông Nam mang đến giải pháp phục hồi nụ cười tự nhiên, góp phần nâng cao sức khỏe răng miệng lâu dài. Đối với những ai đang tìm kiếm giải pháp cầu răng sứ an toàn, thẩm mỹ và hiệu quả, đây là địa chỉ đáng cân nhắc để được tư vấn và chăm sóc.

Thông tin liên hệ
Cơ Sở 1: 411 Nguyễn Kiệm – Phường Đức Nhuận – TPHCM
Cơ Sở 2: 614 Lê Hồng Phong – Phường Vườn Lài – TPHCM
Hotline: 0972 411 411 – 1900 7141
Zalo/Viber: (+84) 972 411 411
Website: https://nhakhoadongnam.com/

5/5 - (1 vote)
Banner-backlink-danaseo

Bài viết liên quan